COMPOSITE (TOOTH COLOURED) FILLINGS

BACK

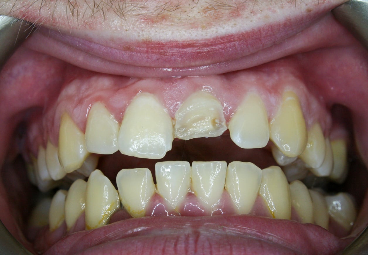
BEFORE - FRACTURED INCISOR

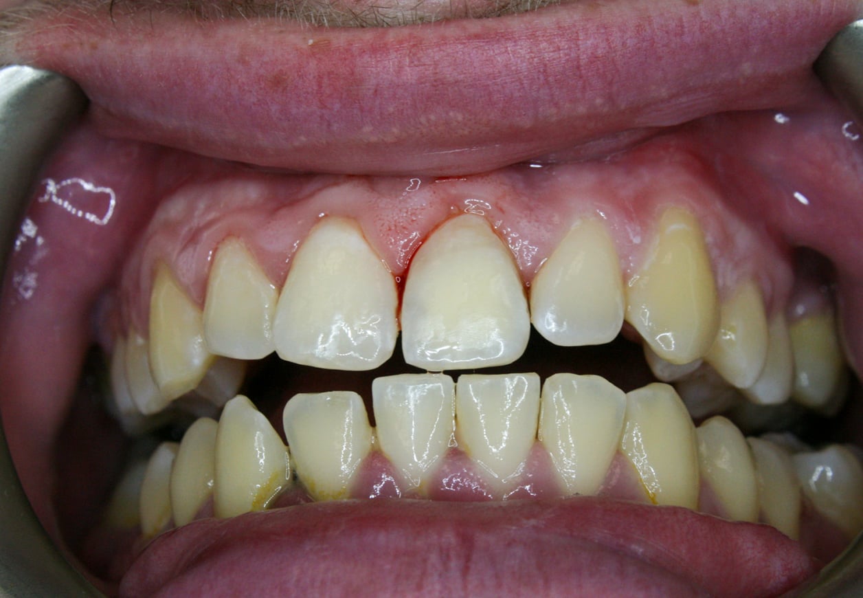
AFTER - COMPOSITE

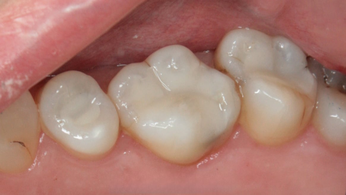
BEFORE - AMALGAM FILLINGS

AFTER - COMPOSITE

© Copyright 2024 - All Rights Reserved